Vinno E 35 - cenově dostupný luxusní ultrazvukový systém

První na světě - inovativní RF platforma navržená výrobcem systému, firmy VINNO. Systém je schopen sbírat až 40 krát více surových nezpracovaných signálů, díky nimž má výsledný obraz lepší rozlišení a pokročilejší možnosti post-obrazové produkce.

 

Design ultrazvukového přístroje VINNO E35 byl vytvořen pro pohodlí a efektivitu práce. Inteligentní dotykový panel a možnost upravit nastavení podle vašich potřeb usnadňují efektivní každodenní práci

Vinno E 35

 

Přehled parametrů a hlavních funkcí

Standardní funkce ultrazvuku Vinnno E35

 

  • Inovativní RF platforma
  • 19" palcový monitor s vysokým rozlišením
  • 10 '' dotykový panel pro správu funkcí
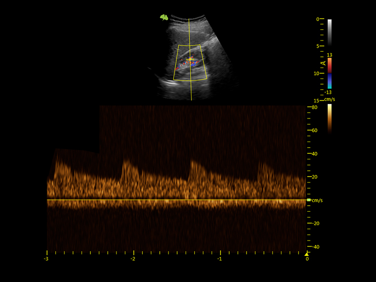
  • Doppler s pulzní vlnou a HPRF
  • Barevné / výkonové / směrové výkonové dopplerovské zobrazování toku
  • Fázová inverze / tkáňové harmonické zobrazování
  • Vfusion (Spatial Compound Imaging)
  • VSpeckle (Speckle Reduction Imaging)
  • Tview (lichoběžníkové zobrazování)
  • VTissue
  • Snadné porovnání
  • Automatické trasování PW / CW
  • Simultánní B + CF
  • SGC (kompenzace zisku zesílení)
  • 1 TB pevný disk
  • DVD-RW a 4 USB porty
  • ČB vstup do videotiskárny
  • 4 snadno přístupné porty (tři aktivní, rozšiřitelné o čtvrtinu)
  • Databáze pacientů
  • Rychlé uložení
  • Síťová jednotka a tisk
  • Možnosti zvětšení obrazu
  • Režim celé obrazovky
  • Triplex 2D / Color / PW
  • Automatická optimalizace

Vinno E35

 

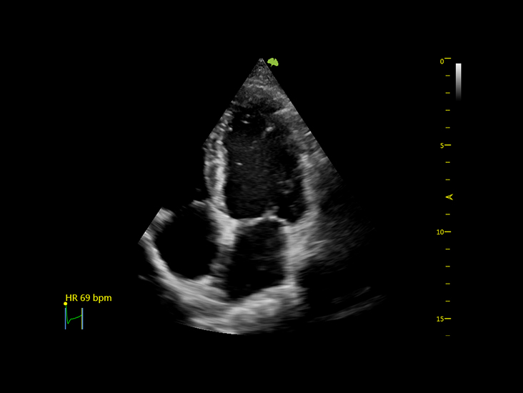
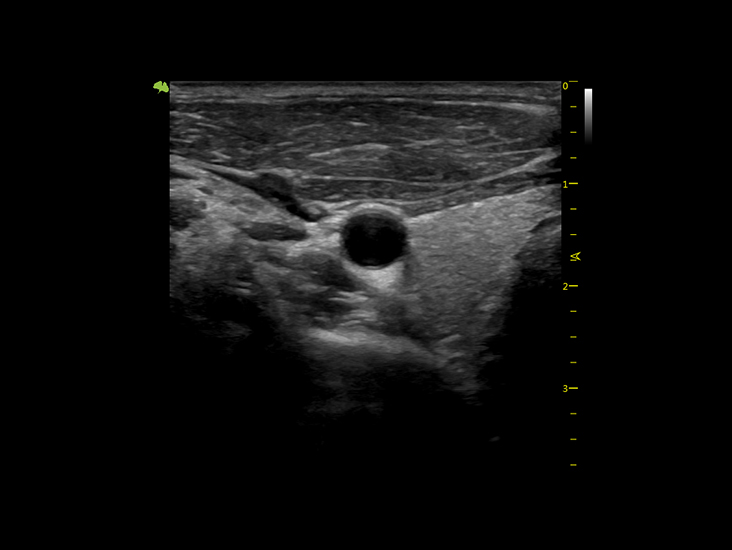
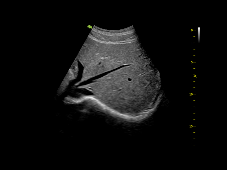
Klinické snímky

V-Fusion je funkce prostorového zobrazování vyvinutá společností VINNO. Umožňuje zdokonalení informací obsažených v obraze, tj. zvýšení kontrastu, lepší rozlišení a eliminaci možného rušení.
V ultrazvuku je tchnologie V-Speckle. Jedná se o inteligentní algoritmus, který odstraňuje šum, zvýrazňuje okraje a kontrast obrazu po předchozí analýze oblasti.

Ke stažení
Prospekt Vinno E 35 (PDF - 4.8 Mb)

Kontaktujte obchodního zástupce :

 

Ing. Patrik Ponikva

+420 777 638 746

ponikva@chironax.com

Chironax Frýdek.Místek s.r.o., Revoluční 1280, 738 01 Frýdek Místek

 

tel.: 558 638 711, mobil: 777 638 711, email: chironax@chironax.com

 

Bextron Medical s.r.o., Podnikatelská 539, 190 11 Praha 9

 

tel.: 777 638 732, email: bextron@bextron.cz