Esaote MyLab X5

Ultrazvuk Esaote MyLab X5 byl navržen na základě  klíčových konceptů, aby poskytoval spolehlivou diagnózu a zajišťoval každodenní produktivitu. Jediným pohledem pochopíte, jak jednoduchá je obsluha a nastavení Esaote MyLab X5 .

Esaote MyLab X5

 

Přehled hlavních funkcí

Široké portfolio sond

 

Sondy jsou jádrem ultrazvukové technologie. Integrace fyziky, elektroniky a geometrie do jejich designu je největší technickou výzvou řetězce zpracování signálu. Díky inovaci kvalitních zlatých standardních ultrazvukových snímačů obsahují iQsondy nejmodernější technologii Esaote.

 

Ačkoli bylo věnováno mnoho času optimalizaci skenovacích převodníků, algoritmům pro následné zpracování a sofistikovaným technologiím pro redukci skvrn, ultrazvukové sondy zůstávají primárním rozhraním skeneru mezi pacientem a uživatelem.

Konstrukce, materiál a technologie výroby sond jsou hlavními determinanty kvality obrazu ultrazvukového systému. Díky inovaci zlatých standardních ultrazvukových snímačů nabízejí iQsondy nejmodernější zobrazování.

 

  • Kompozitní materiál s aktivní matricí
  • Více adaptivních vrstev
  • Bi-con geometrický snímač
  • Design "appleprobe"
  • Rozsáhlé využití aplikací s rozšířeným širokopásmovým konvexním, lineárním, fázovaným polem, intraoperačním a speciálním tvarem sondy.

 

  • Rychlé a snadné
  • 21,5 "širokoúhlý LCD monitor
  • Automatizace "jedním kliknutím"
  • Konfigurace na míru
  • Velké portfolio sond
  • Baterie
  • Doba zapnutí méně než 15 s

Aplikace

 

  • Gynekologie

Konvexní a endokavitální sondy poskytují vynikající kvalitu obrazu pro aplikace v oblasti gynekologie a porodnictví. 3D konvexní sondu lze také použít pro standardní vyšetření.

 

  • Kardiovaskulární

Esaote MyLab X5 je vybaven komplexní kardio-vaskulární konfigurací. Jedná se o kompletní systém pro jakékoli kardiovaskulární ultrazvukové vyšetření s přizpůsobitelnými měřeními a reporty.

 

  • Radiologie

Nový produkt Esaote MyLab X5 od společnosti Esaote pokrývá všechny klinické aplikace, od břišních po endokrinologické aplikace, stanovení diagnózy a poskytování nejlepší možné péče.

Esaote MyLab X5

 

Pokročilé technologie

Nový produkt Esaote MyLab X5 pokrývá všechny klinické potřeby, od břišních po endokrinologické aplikace, stanovení diagnózy a poskytování nejlepší možné péče. Poskytuje vynikající kvalitu obrazu pro gynekologii a porodnictví a je vybaven komplexní konfigurací kardiovaskulárních aplikací.
Stress echo: Kompletní balíček stress echa s flexibilními a přizpůsobitelnými protokoly pro získávání a kontrolu zobrazování, k dispozici také u LVO.
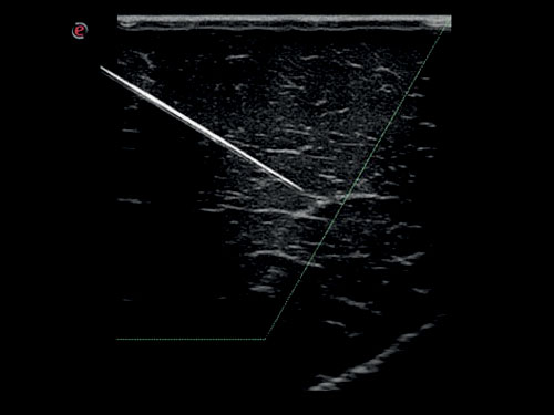
Viditelnost jehly: Vylepšená a jasná vizualizace jehly během zákroků.
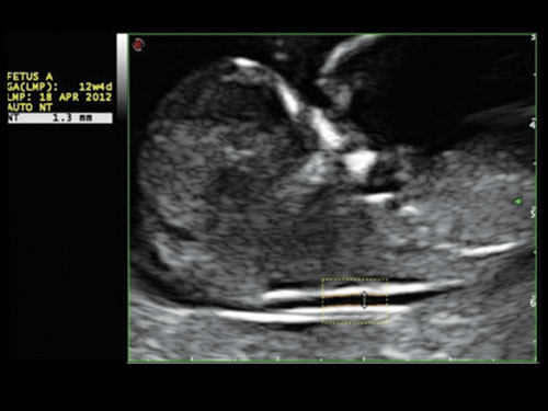
AutoNT: Automatické měření nuchální translucence (NT).
AutoEF: Automatické měření ejekční frakce (plně automatické).
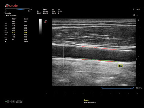
QIMT: Automatická detekce tloušťky média Intima v reálném čase, včetně směrodatné odchylky a indexu spolehlivosti, na základě analýzy RF signálu.
XStrain ™: Globální kmen bullseye (17 segmentů) jako výsledek 3 apikálních výsledků GLS.

Ke stažení
Prospekt Esaote Mylab X5 (PDF - 1.15 Mb)

Kontaktujte obchodního zástupce :

 

Ing. Lukáš Kuruc

+420 777 638 713

kuruc@chironax.com

Chironax Frýdek.Místek s.r.o., Revoluční 1280, 738 01 Frýdek Místek

 

tel.: 558 638 711, mobil: 777 638 711, email: chironax@chironax.com

 

Bextron Medical s.r.o., Podnikatelská 539, 190 11 Praha 9

 

tel.: 777 638 732, email: bextron@bextron.cz