Esaote MyLab X7

Diagnostický ultrazvuk Esaote MyLab X7 představuje rozšířené  funkce, které pomáhají lékařúm při pokročilých procedurách pracovat co nejlépe. Zahrnuje inovativní a nejmodernější moduly, včetně CPI, High Sensitive microV, XStrain4D, XSTIC, které umožňují s jistotou používat ultrazvuk při všech druzích vyšetření.

Esaote MyLab X7

 

Přehled hlavních funkcí

 

Optimalizovaný pracovní postup

 

Díky své výkonné platformě Windows ™ 10 se Esaote MyLab ™ X7 zaměřuje na zkrácení doby vyšetření a lepší pracovní postupy pomocí široké škály automatických procesních funkcí „nulového kliknutí“ pro zobrazování, dopplerovské zpracování, následné zpracování, měření, archivaci a připojení. Díky zpracování „nulovým kliknutím“ lze nyní rychle a snadno provádět srdeční ejekční frakci nebo fetální nuchální translucenci.

 

  • Baterie
  • Doba zapnutí méně než 15 s
  • Snadné odpojení a snadné přemístění
  • Snadné použití
  • 21,5 "HD IPS technologie LED monitor
  • Nejnovější technologie dotykové obrazovky

 

Široké možnosti připojení

 

V rychle se měnícím světě, kdy je hodnota informací zvýšena možností jejich sdílení, musí být k dispozici nejvyšší úroveň správy klinických údajů, aby vyhovovaly dnešním lékařským potřebám. Celosvětová komunita lékařů vstoupila do nové éry komunikačních příležitostí.

 

Na základě Windows® 10 umožňuje tento vývoj profesionálům v oboru zobrazování efektivněji diagnostikovat.

 

  • DICOM konektivita
  • Multimodální archiv
  • Bezdrátové připojení
  • Tablet MyLab ™

Široké portfolio sond

 

Sondy jsou jádrem ultrazvukové technologie. Integrace fyziky, elektroniky a geometrie do jejich designu je největší technickou výzvou řetězce zpracování signálu. Díky inovaci kvalitních zlatých standardních ultrazvukových snímačů obsahují iQsondy nejmodernější technologii Esaote.

 

  • Kompozitní materiál s aktivní matricí
  • Monokrystal
  • Více adaptivních vrstev
  • Bi-con geometrický objektiv
  • Design "appleprobe"
  • Rozsáhlé využití aplikací s rozšířeným širokopásmovým konvexním, lineárním, fázovaným polem, volumetrickým, intraoperačním a speciálním tvarem sondy.

Aplikace

 

  • Radiologie 

Nový produkt Esaote MyLab X7 od společnosti Esaote pokrývá všechny klinické aplikace. Od břišních po endokrinologické aplikace, stanovení diagnózy a poskytování nejlepší možné péče.

 

  • Kardiovaskulární

Esaote MyLab X7 je vybaven komplexní kardiologicko-vaskulární konfigurací. Jedná se o kompletní systém pro jakékoli kardiovaskulární ultrazvukové vyšetření s přizpůsobitelnými měřeními a reporty.

 

  • Gynekologie

Konvexní a endokavitní sondy poskytují vynikající kvalitu obrazu pro aplikace v oblasti gynekologie a porodnictví. 3D konvexní sondu lze také použít pro standardní vyšetření.

 

  • Urgentní péče

Esaote MyLab X7 přináší vysokou úroveň automatizace a ergonomie pro jakékoli místo použití čímž zlepšuje pracovní postupy a zkracuje dobu vyšetření.

 

  • Sdílení informací

Nová ultrazvuková platforma Esaote MyLab X7 je navržena tak, aby podporovala celou řadu diagnostických zobrazovacích prostředí sdílených služeb, což z ní činí kompletní řešení pro zvládání nejnáročnějších klinických aplikací.

Esaote MyLab X7

 

Pokročilé technologie

Esaote MyLab X7 disponuje řadou nejnovějších klinických nástrojů, které usnadňují a zpřesňují lékařům ultrazvukovou diagnostiku.
XView +: Nový vysoce výkonný algoritmus pro redukci skvrn v reálném čase. Jasné a podrobné zobrazení pro lepší diagnostiku; funguje také v postprocesoru - finální úprava pro optimální kvalitu obrazu.
CPI: CPI je kombinací nízko / vysokofrekvenční modulace. Získejte spolehlivou diagnostiku pro každého pacienta s optimálním rozlišením a lepší penetrací.
Viditelnost jehly: Vylepšená a jasná vizualizace jehly během zákroků.
microV: Hemodynamické hodnocení s vysokou citlivostí a vysokým prostorovým rozlišením pro charakterizaci vaskularizace lézí ve všech klinických aplikacích, rychlé a neinvazivní.
Q-Pack: Q-Pack je nový multimodální kvantifikační nástroj pro analýzu křivek Contrast Perfusion (Wi / Wo), dostupný v barvách, Power Doppler a CnTI ™.
ElaXto: ElaXto je neinvazivní metoda, která pomáhá lékařům při hodnocení elasticity tkáně. Rozdíly v tkáňových reakcích jsou detekovány a vizualizovány v reálném čase.
Stress echo: Kompletní balíček stress echa s flexibilními a přizpůsobitelnými protokoly pro získávání a kontrolu zobrazování, k dispozici také u LVO.
CnTI ™ Contrast Tuned Imaging: Vysoká citlivost, hluboká penetrace a vysoké rozlišení jsou běžné vlastnosti technologie CnTI ™ Contrast Enhanced Imaging pro lepší diagnostický výkon.
XLight: Pokročilý algoritmus pro zlepšení volumetrické kvality vykreslování.
XSTIC: Software pro rekonstrukci plodu XSTIC určený pro volumetrickou rekonstrukci v režimu B a barvě / síle srdečních dutin plodu.
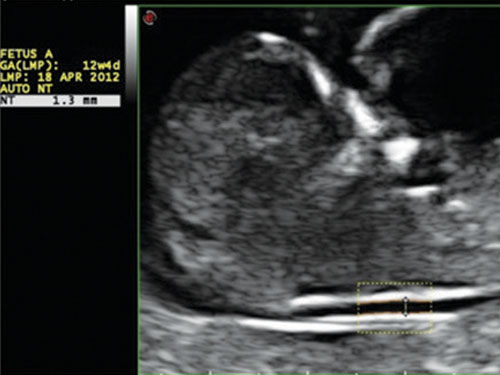
AutoNT: Automatické měření nuchální translucence (NT).
AutoEF: Automatické měření ejekční frakce (plně automatické).
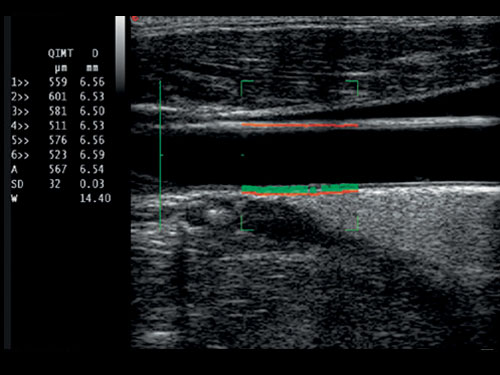
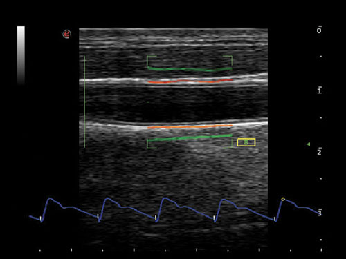
QIMT: Automatická detekce tloušťky média Intima v reálném čase, včetně směrodatné odchylky a indexu spolehlivosti, na základě analýzy RF signálu.
QAS: RF datová technologie umožňuje automaticky a přesně měřit tuhost karotické stěny a automaticky vypočítat indexy PWV, CC, AI, α, β.

XStrain ™: Globální kmen bullseye (17 segmentů) jako výsledek 3 apikálních výsledků GLS.
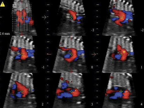
XStrain4D: XStrain4D je technologie sledování, která poskytuje volumetrický model funkce srdce.

Ke stažení
Prospekt Esaote Mylab X7 (PDF - 2.54 Mb)
Leták Esaote X7Vet (PDF - 257 kB)

Kontaktujte obchodního zástupce :

 

Ing. Lukáš Kuruc

+420 777 638 713

kuruc@chironax.com

Chironax Frýdek.Místek s.r.o., Revoluční 1280, 738 01 Frýdek Místek

 

tel.: 558 638 711, mobil: 777 638 711, email: chironax@chironax.com

 

Bextron Medical s.r.o., Podnikatelská 539, 190 11 Praha 9

 

tel.: 777 638 732, email: bextron@bextron.cz