Esaote MyLab 9

Nový ultra výkonný ultrazvukový systém platformy Esaote MyLab 9 je navržen tak, aby podporoval celou řadu diagnostických zobrazovacích prostředí. Získejte jedinečnou kontrolu nad svými snímky pomocí jedinečných vizualizačních nástrojů a sledujte výsledky. Zažijte mimořádný komfort ergonomie navržené v Itálii a velmi snadné uživatelské rozhraní, které zvyšuje produktivitu.

 

Ultrazvukové systémy Esaote MyLab 9 eXP a MyLab 9 poskytují bezprecedentní výkon k zajištění sebevědomějšího a informovanějšího rozhodnutí v oblasti zdravotní péče bez kompromisů s ultra vysokou hodnotou.

Esaote MyLab 9

 

Přehled hlavních funkcí

Barva, jas, kontrast

Chápeme, že kvalita obrazu je pro vás mimořádně důležitá. Naše nekompozitní technologie monokrystalické sondy poskytuje vynikající kvalitu obrazu, na kterou se můžete spolehnout.

Je poháněn novou ultra-motorovou platformou a mimořádným 24 ”lékařským LCD monitorem Full HD od společnosti BARCO ™ (volitelně). Poskytuje větší čistotu obrazu, barvy a kontrast, které podporují vaše diagnostické požadavky na zobrazováním.
Platforma Esaote MyLab 9 poskytuje ohromující kvalitu zobrazení pro vynikající ultrazvuk, který vám umožní rozhodovat se na základě informovanějšího vyšetření v oblasti zdravotní péče.


Technologie iQProbes


Kvalitu obrazu určuje design měniče, kvalita materiálů a výrobní technologie. V centru výroby sond Esaote v italské Florencii tým optimalizoval naše snímací převaděče, algoritmy postprocesingu a zabudované technologie tak, aby vytvořil ultra kvalitní ultrazvukovou sondu - iQProbe.
  • easyMode : jedinečný dotykový nástroj pro optimalizaci obrazu pomocí inteligentních algoritmů v reálném čase

   >> STÁHNOUT LETÁK PDF [648 KB]

 

 

  • Opti-light : integrovaný do monitoru pro osvětlení místnosti a zajištění nejlepšího prostředí pro optimální vyšetření

 

  • appleprobe: inovativní design, který snižuje namáhání svalstva a kostí až o 70% pro lepší uživatelský komfort a pohodlí v klinické praxi

Výkon bez kompromisů

 

  • Spouštění: rychlé spuštění a efektivní pohotovostní režim umožňují snadné odpojení platformy Esaote MyLab 9 a přesunu z místnosti do místnosti, aniž by došlo k výpadku.

 

  • i-motion: technologie zaměřená na zajištění nejlepší kvality obrazu a nejvyšší obnovovací frekvence, a to i v nejnáročnějších zobrazovacích režimech.

 

Rozšířená konektivita:

 

  • Multimodální archiv
  • DICOM konektivita (včetně Q / R)
  • Soulad s IHE
  • Bezdrátové připojení
  • Software Esaote MyLab ™ Desk evo pro externí pracovní stanici
  • Tablet MyLab ™
  • eStreaming

Esaote MyLab 9

 

Pokročilé technologie

Platforma Esaote MyLab 9 je nejmodernější platforma s pevným diskem (SSD), jednotkou CPU / GPU poslední generace a Windows® 10 podporující nejnovější požadavky na zabezpečení dat a výpočetní výkon.
Díky rychlému spuštění a efektivnímu pohotovostnímu režimu lze platformu MyLab 9 snadno odpojit a přecházet z místnosti do místnosti.
CT, MRI, PET vedle sebe pomocí ultrazvuku v reálném čase.
Fúze CEUS a PET v reálném čase pro detekci lézí.
CT, MRI, PET vedle sebe pomocí ultrazvuku v reálném čase.
Virtuální navigátor - automatická detekce a segmentace cév s funkcí Auto-Fusion
Přesná detekce a zaměření lézí pomocí Virtual Biopsy
Breast BodyMap a ElaXto v reálném čase
Vizuální zpětná vazba sondou zobrazované oblasti pomocí technologie BreastNavTM
Sledování lézí prsu pomocí technologie BreastNavTM
HD zvětšení - transkraniální vaskularizační analýza s mikroV
Hemodynamická analýza ledvin pomocí mikroV
Vaskularizace varlat s funkcí XFlow
Vylepšení dopplerografie pomocí XFlow při vaskularizaci jater
Pre-Post objemové srovnání CEUS-multidataset
Zobrazení prostaty vylepšené kontrastem (CnTI ™)
Perfuze QPack CnTI ™ po RF ablaci
Zobrazení dětské tváře v reálném čase pomocí XLight
4D zobrazení dětské tváře v reálném čase
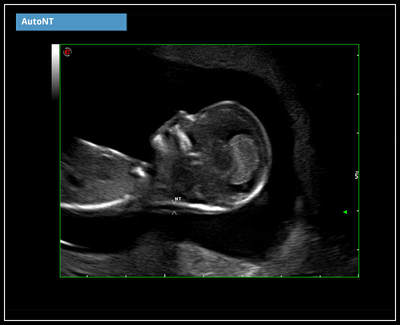
HD zvětšení profilu plodu s měřením AutoNT
QElaXto 2D shearwawe elastografie v játrech
Zobrazení bodu v játrech pomocí funkce QElaXto.
Technologie XStrain 2D
Technologie XStrain4D pro objemové hodnocení srdce.

Ke stažení
Prospekt Esaote Mylab 9 (PDF - 1.2 Mb)
Prospekt EsaoteMylab 9 eXP (PDF - 2.84 Mb)
Prospekt Esaote Mylab 9 eXP Easy mode (PDF - 679 kb)

Kontaktujte obchodního zástupce :

 

Ing. Lukáš Kuruc

+420 777 638 713

kuruc@chironax.com

Chironax Frýdek.Místek s.r.o., Revoluční 1280, 738 01 Frýdek Místek

 

tel.: 558 638 711, mobil: 777 638 711, email: chironax@chironax.com

 

Bextron Medical s.r.o., Podnikatelská 539, 190 11 Praha 9

 

tel.: 777 638 732, email: bextron@bextron.cz