Esaote MyLab 9 VET - veterinární ultrazvuk

Nový ultra výkonný veterinární ultrazvukový přístroj platformy Esaote MyLab 9 Vet je navržen tak, aby podporoval celou řadu diagnostických zobrazovacích prostředí. Získejte jedinečnou kontrolu nad svými snímky pomocí jedinečných vizualizačních nástrojů a sledujte výsledky. Zažijte mimořádný komfort ergonomie navržené v Itálii a velmi snadné uživatelské rozhraní, které zvyšuje produktivitu.

 

Veterinární ultrazvukovový systém Esaote MyLab 9 Vet poskytuje bezprecedentní výkon k zajištění sebevědomějšího a informovanějšího rozhodnutí v oblasti zdravotní veterinární péče bez kompromisů s ultra vysokou hodnotou.

Esaote MyLab 9 Vet

 

Přehled hlavních funkcí

Barva, jas, kontrast

Chápeme, že kvalita obrazu je pro vás mimořádně důležitá. Naše nekompozitní technologie monokrystalické sondy poskytuje vynikající kvalitu obrazu, na kterou se můžete spolehnout.

Je poháněn novou ultra-motorovou platformou a mimořádným 24 ”lékařským LCD monitorem Full HD od společnosti BARCO ™ (volitelně). Poskytuje větší čistotu obrazu, barvy a kontrast, které podporují vaše diagnostické požadavky na zobrazováním.
Veterinární ultrazvuk Esaote MyLab 9 VET poskytuje ohromující kvalitu zobrazení pro vynikající ultrazvuk, který vám umožní rozhodovat se na základě informovanějšího vyšetření v oblasti veterinární zdravotní péče.


Technologie iQProbes


Kvalitu obrazu určuje design měniče, kvalita materiálů a výrobní technologie. V centru výroby sond Esaote v italské Florencii, tým optimalizoval naše snímací převaděče, algoritmy postprocesingu a zabudované technologie tak, aby vytvořil ultra kvalitní ultrazvukovou sondu - iQProbe.
  • easyMode : jedinečný dotykový nástroj pro optimalizaci obrazu pomocí inteligentních algoritmů v reálném čase

   >> STÁHNOUT LETÁK PDF [648 KB]

 

 

  • Opti-light : integrovaný do monitoru pro osvětlení místnosti a zajištění nejlepšího prostředí pro optimální vyšetření

 

  • appleprobe: inovativní design, který snižuje namáhání svalstva a kostí až o 70% pro lepší uživatelský komfort a pohodlí v klinické praxi

Výkon bez kompromisů

 

  • Spouštění: rychlé spuštění a efektivní pohotovostní režim umožňují snadné odpojení platformy Esaote MyLab 9 VET a přesunu z místnosti do místnosti, aniž by došlo k výpadku.

 

  • i-motion: technologie zaměřená na zajištění nejlepší kvality obrazu a nejvyšší obnovovací frekvence, a to i v nejnáročnějších zobrazovacích režimech.

 

Rozšířená konektivita:

 

  • Multimodální archiv
  • DICOM konektivita (včetně Q / R)
  • Soulad s IHE
  • Bezdrátové připojení
  • Software MyLab ™ Desk evo pro externí pracovní stanici
  • Tablet MyLab ™
  • eStreaming

Esaote MyLab 9 Vet

 

Pokročilé technologie

Platforma Esaote MyLab 9 Vet je nejmodernější platforma s pevným diskem (SSD), jednotkou CPU / GPU poslední generace a Windows® 10 podporující nejnovější požadavky na zabezpečení dat a výpočetní výkon.
Díky rychlému spuštění a efektivnímu pohotovostnímu režimu lze platformu MyLab 9 Vet snadno odpojit a přecházet z místnosti do místnosti, aniž by vám chyběla pauza.
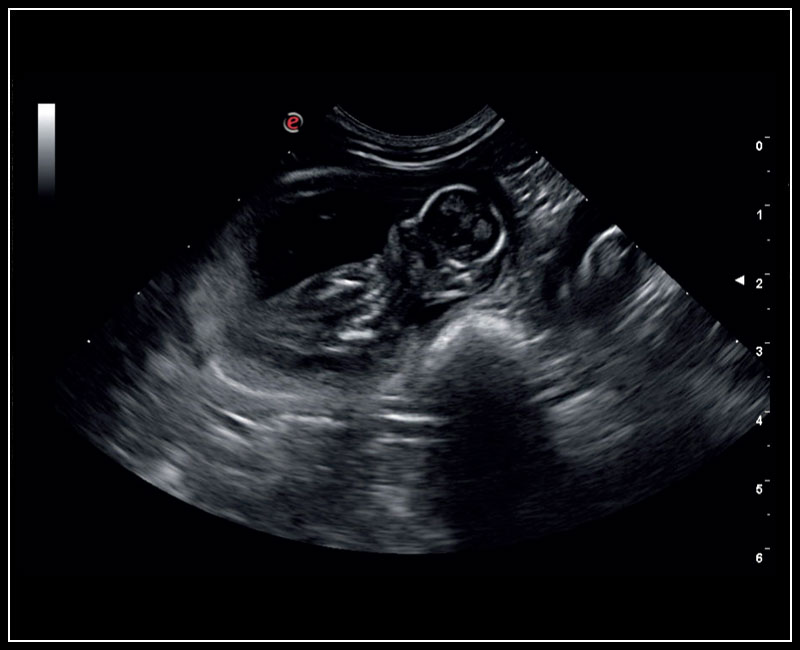
Kočka - 40-ti denní plod
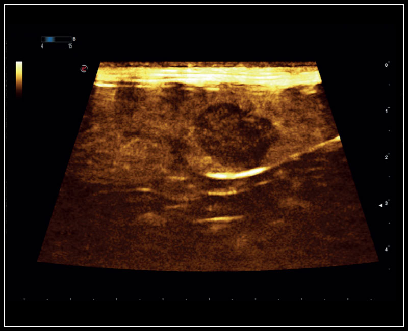
Pes - splenická ložisková léze - CnTI
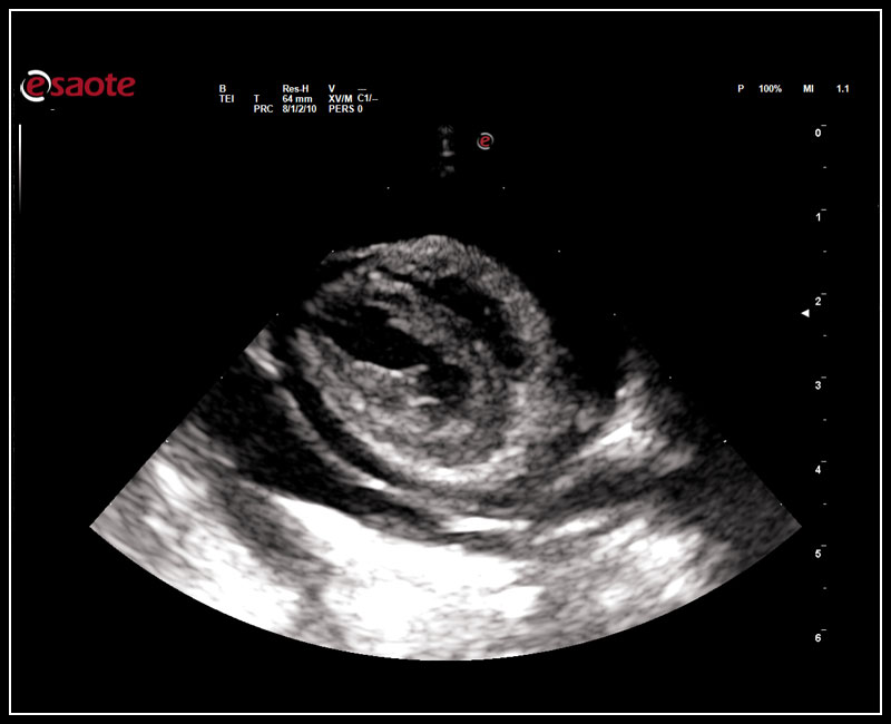
Kočka - hemoperikard
Pes - kardiologie, M-mód

Ke stažení
Prospekt Esaote Mylab 9 (PDF - 1.2 mB)
Leták Esaote Mylab 9 Vet (PDF - 263 kB)
Prospekt Esaote Mylab 9 eXP Easy mode (PDF - 679 kB)

Kontaktujte obchodního zástupce :

 

Ing. Lukáš Kuruc

+420 777 638 713

kuruc@chironax.com

Chironax Frýdek.Místek s.r.o., Revoluční 1280, 738 01 Frýdek Místek

 

tel.: 558 638 711, mobil: 777 638 711, email: chironax@chironax.com

 

Bextron Medical s.r.o., Podnikatelská 539, 190 11 Praha 9

 

tel.: 777 638 732, email: bextron@bextron.cz