Esaote MyLab Omega VET - veterinární ultrazvuk

Veterinární ultrazvuk Esaote MyLab  Omega Vet je špičkový přenosný ultrazvukový přístroj s inovativním a ergonomickým designem. Poskytuje nejvyšší možnou úroveň výkonu pro jakoukoli aplikaci.

 

Nabízí extrémní agilitu díky integrovanému duálnímu konektoru a je extrémně flexibilní s jedinečnou vestavěnou dotykovou obrazovkou a monitorem s možností otáčení a naklánění.

 

Esaote MyLab Omega Vet

 

Přehled hlavních funkcí

Esaote MyLab Omega Vet: Mobilita

 

Esaote MyLab Omega Vet může nabídnout širokou škálu mobilních řešení pro splnění všech možných potřeb, aplikací a umístění. Systém lze jednoduše ovládat umístěný na stole nebo instalovat na univerzální výškově nastavitelný vozík. Kromě toho má systém volitelný skládací vozík, který lze snadno přepravovat v autě nebo v  batohu. Vozík doplňuje mobilní řešení systému.

 

  • Provoz na baterii
  • Doba zapnutí méně než 15 s
  • Mobilní řešení
  • Rychlé a snadné
  • Automatizace jedním kliknutím
  • Rozsáhlé připojení
  • Kompletní pokročilé klinické nástroje
  • Dva konektory pro připojení sond
  • Otočný 15,6 ”monitor
  • Dotyková obrazovka

Okamžité připojení

 

V rychle se měnícím světě, kde je hodnota informací zvýšena možností jejich sdílení, je třeba nabídnout nejvyšší úroveň správy klinických dat, aby vyhovovaly dnešním lékařským potřebám.

Celosvětová komunita pro zobrazování lékařů vstoupila do nové éry komunikačních příležitostí. Tento vývoj založený na Windows ™ 10 umožňuje  profesionálům efektivněji diagnostikovat, což opět zvyšuje úroveň celkové poskytované zdravotní péče.

 

  • Konektivita DICOM
  • Bezdrátové připojení
  • Multimodální archiv
  • eStreamování
  • Tablet MyLab ™

Esaote MyLab Omega Vet

 

Pokročilé technologie

Esaote MyLab Omega Vet disponuje řadou nejnovějších klinických nástrojů, které usnadňují a zpřesňují veterinárním lékařům ultrazvukovou diagnostiku.
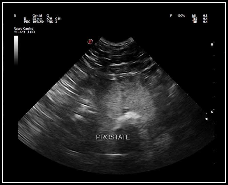
Pes - prostata - B-mod
Pes - levá ledvina sagitálně, B-mod.
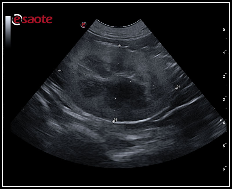
Pes - jaterní cysta - B-mod
Pes - ledvina - microV
Kobyla - vaskularizace vaječníků - micorV
Kobyla - vaječník - B-mod

Ke stažení
Prospekt Esaote Mylab Omega (PDF - 1.7 Mb)
Leták Esaote Mylab Omega Vet (PDF - 263 kB)

Kontaktujte obchodního zástupce :

 

Ing. Lukáš Kuruc

+420 777 638 713

kuruc@chironax.com

Chironax Frýdek.Místek s.r.o., Revoluční 1280, 738 01 Frýdek Místek

 

tel.: 558 638 711, mobil: 777 638 711, email: chironax@chironax.com

 

Bextron Medical s.r.o., Podnikatelská 539, 190 11 Praha 9

 

tel.: 777 638 732, email: bextron@bextron.cz