Esaote MyLab Sigma

Esaote MyLab Sigma s technologií zaměřenou na skutečnou diagnostickou hodnotu byl navržena tak, aby poskytoval špičkový ultrazvuk a vysokou dynamiku při velmi snížené velikosti a hmotnosti. Díky širokému sortimentu příslušenství je MyLab Sigma stejně pohodlný stacionární systém. Esaote MyLab Sigma je odpovědí na současné diagnostické a point-of-care přístupy, které vyžadují zapojení nejmodernějších technologií do dnešních ultrazvukových systémů.

Esaote MyLab Sigma

 

Přehled hlavních funkcí

Esaote MyLab Sigma: Okamžitá efektivita

 

Esaote MyLab Sigma je přenosný ultrazvuk nejnovější generace. Jedná se o inteligentní, přenosnou, multidisciplinární ultrazvukovou jednotku, která vám umožní přivést ultrazvuk tam, kde je potřeba pro rychlou a úplnou diagnostiku.

Rychlejší diagnostika

 

Nabízí extrémní agilitu díky integrovanému duálnímu konektoru (4 s přídavným vícekonektorem na vozíku) a rozsáhlému pracovnímu toku s automatizačními nástroji pro rychlejší diagnostiku.

 

  • Rychlé a snadné
  • Automatizace jedním kliknutím
  • Dotyková obrazovka

Ergonomický a inovativní design

 

Součástí otáčecího a naklápěcího moitoru je také unikátní integrovaná dotyková obrazovka. Ergonomický a inovativní design spolu s jeho velkou přenositelností dále zvyšuje každodenní produktivitu a účinnost diagnostiky.

 

  • Otočný 15,6 ”monitor
  • Dva konektory pro sondy
  • Rozsáhlé připojení

Esaote MyLab Sigma

 

Pokročilé technologie

Diagnostický ultrazvuk Esaote MyLab Sigma pokrývá všechny klinické potřeby, od břišních po aplikace v péči, včetně speciálních funkcí a technologií, jako je celá obrazovka, VPan, viditelnost jehly a MyLibrary.
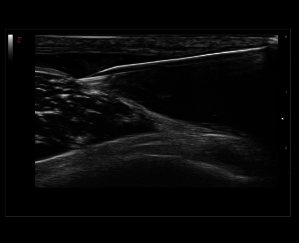
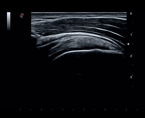
MSK zobrazení ramene
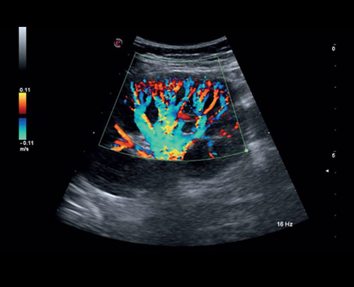
Perfuze ledvin s vysoce citlivým režimem Color Doppler.
Léze štítné žlázy, zobrazení 2D s barevným dopplerem.
Vysokofrekvenční zobrazovací B-režim střeva.
Fetální Willisův kruh s Power Dopplerem.
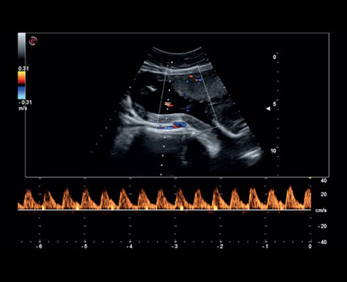
PW Doppler - pupeční šňůra
Poloprůhledné vykreslení fetální páteře.
Analýza zadní mitrální chlopně pomocí mapování rychlosti tkáně.
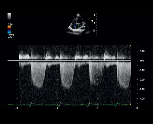
CW Doppler trikuspidální regurgitace.
Srdeční zobrazování ve vysokém rozlišení B.
2D analýza levé komory XStrain.
Vyšetření střední mozkové tepny s PW Dopplerovým módem.
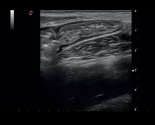
Vysoké rozlišení B-módu na středním nervu
Výkonový Doppler v oblasti zánětu akutní polyartritidy se sondou 18 MHz
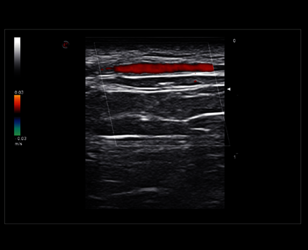
Vyšetření spánkové tepny pomocí sondy s velmi vysokou frekvencí (22 MHz)
Zvýraznění jehly pro přesný intervenční postup
Sledujte v reálném čase druhou modalitu
MyLibrary - referenční příručka

Ke stažení
Prospekt Esaote Mylab Sigma (PDF - 1.2 Mb)
Prospekt Esaote Mylab Sigma Elite (PDF - 0.44 Mb)
MSK ultrazvuky (PDF - 390 kB)

Kontaktujte obchodního zástupce :

 

Ing. Lukáš Kuruc

+420 777 638 713

kuruc@chironax.com

Chironax Frýdek.Místek s.r.o., Revoluční 1280, 738 01 Frýdek Místek

 

tel.: 558 638 711, mobil: 777 638 711, email: chironax@chironax.com

 

Bextron Medical s.r.o., Podnikatelská 539, 190 11 Praha 9

 

tel.: 777 638 732, email: bextron@bextron.cz