Esaote MyLab Sigma VET - veterinární ultrazvuk

Esaote MyLab Sigma Vet s technologií zaměřenou na skutečnou diagnostickou hodnotu byl navržena tak, aby poskytoval špičkový ultrazvuk a vysokou dynamiku při malé a hmotnosti. Díky širokému sortimentu příslušenství je veterinární ultrazvuk Esaote MyLab Sigma Vet stejně pohodlný jako stacionární systém. Esaote MyLab Sigma Vet je odpovědí na současné diagnostické a point-of-care přístupy, které vyžadují zapojení nejmodernějších technologií do dnešních ultrazvukových systémů.

Esaote MyLab Sigma Vet

 

Přehled hlavních funkcí

Esaote MyLab Sigma Vet: Okamžitá efektivita

 

Esaote MyLab Sigma Vet je přenosný veterinární ultrazvuk nejnovější generace. Jedná se o inteligentní, přenosnou, multidisciplinární ultrazvukovou jednotku, která vám umožní přivést ultrazvuk tam, kde je potřeba pro rychlou a úplnou diagnostiku.

Rychlejší diagnostika

 

Nabízí extrémní agilitu díky integrovanému duálnímu konektoru (4 s přídavným vícekonektorem na vozíku) a rozsáhlému pracovnímu toku s automatizačními nástroji pro rychlejší diagnostiku.

 

  • Rychlé a snadné
  • Automatizace jedním kliknutím
  • Dotyková obrazovka

Ergonomický a inovativní design

 

Součástí otáčecího a naklápěcího monitoru je také unikátní integrovaná dotyková obrazovka. Ergonomický a inovativní design spolu s jeho velkou přenositelností dále zvyšuje každodenní produktivitu a účinnost diagnostiky.

 

  • Otočný 15,6 ”monitor
  • Dva konektory pro sondy
  • Rozsáhlé připojení

Esaote MyLab Sigma Vet

 

Pokročilé technologie

Esaote MyLab Sigma Vet pokrývá všechny veterinární klinické potřeby, od abdominálních po kardiologické aplikace, včetně speciálních funkcí a technologií, jako je celá obrazovka, VPan a viditelnost jehly.
Kočka - levá ledvina - B-mod
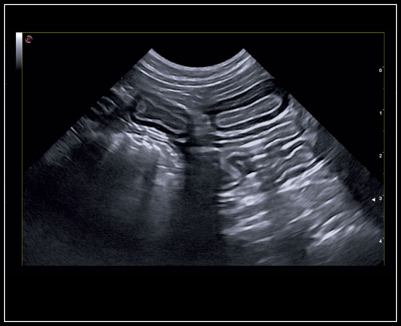
Kůň - šlacha - B-mod
Pes - IBD - B-mod

Ke stažení
Prospekt Esaote Mylab Sigma (PDF - 1.2 Mb)
Leták Esaote Mylab Sigma Vet (PDF - 257 kB)

Kontaktujte obchodního zástupce :

 

Ing. Lukáš Kuruc

+420 777 638 713

kuruc@chironax.com

Chironax Frýdek.Místek s.r.o., Revoluční 1280, 738 01 Frýdek Místek

 

tel.: 558 638 711, mobil: 777 638 711, email: chironax@chironax.com

 

Bextron Medical s.r.o., Podnikatelská 539, 190 11 Praha 9

 

tel.: 777 638 732, email: bextron@bextron.cz